نگاه . آتیه . مارلیک

Negah. Marlik. Atiyeh. Medical Imaging Center

آرتریت روماتوئید و تشخیص آن

آرتریت روماتوئید یک بیماری التهابی ، مزمن و خود ایمنی است که بیشتر مفاصل را درگیر می کند و در صورت عدم تشخیص و درمان به موقع ، می تواند منجر به تخریب مفصل ، ناتوانی حرکتی و کاهش کیفیت زندگی شود. در این بیماری ، سیستم ایمنی بدن به اشتباه به بافت های سالم ، به ویژه پوشش داخلی مفاصل حمله کرده و باعث التهاب مداوم می گردد.

در ادامه تیم تحقیقات مرکز تصویربرداری نگاه به بررسی آرتریت روماتوئید و تشخیص آن می پردازد.

آرتریت روماتوئید چیست؟

آرتریت روماتوئید بیماری طولانی مدت مفاصل با علائم درد و تورم و سفتی مفاصل است که خصوصا در دستها یا پاها ایجاد می شود و با گذشت زمان به غضروف و استخوانهای اطراف می رسد. این بیماری ممکنست دوره های عود یا شعله ور شدن داشته باشد که در آن بیمار علائم بدتری را تجربه خواهد کرد.

قابل ذکر است که بیماری آرتریت روماتوئید یک بیماری خودایمنی بوده بطوریکه سیستم ایمنی بدن به اشتباه سلولهایی که مفاصل را پوشانده حمله کرده و منجر به تورم و سفت شدن مفاصل می گردد. عوامل خطر ابتلا به بیماری آرتریت روماتوئید شامل بانوان ، سابقه خانوادگی ابتلا به این بیماری ، افراد سیگاری می باشد.

آرتریت روماتوئید چه کسانی را درگیر می کند ؟

این بیماری می تواند در هر سنی رخ دهد ، اما بیشتر در میانسالی و در زنان شایع تر است. عوامل ژنتیکی ، اختلالات سیستم ایمنی ، سیگار کشیدن و برخی عوامل محیطی در بروز آن نقش دارند. آرتریت روماتوئید اغلب به صورت قرینه مفاصل را درگیر می کند ؛ یعنی اگر یک دست یا زانو دچار مشکل شود ، سمت مقابل نیز معمولا درگیر خواهد شد.

علائم شایع آرتریت روماتوئید

علائم این بیماری به تدریج ظاهر می شوند و ممکن است در ابتدا خفیف باشند ، مهم ترین نشانه ها عبارتند از :

  • درد و تورم مفاصل ، به ویژه مفاصل کوچک دست و پا
  • خشکی مفاصل در صبح که بیش از یک ساعت طول می کشد.
  • احساس گرمی و حساسیت در مفاصل
  • خستگی مزمن ، ضعف و کاهش انرژی
  • کاهش دامنه حرکتی مفاصل
  • در مراحل پیشرفته ، تغییر شکل مفاصل ، محدودیت شدید حرکت و حتی درگیری سایر اندام ها مانند ریه ، قلب یا چشم نیز ممکن است دیده شود.

مقالات دیگر : آمادگی های قبل از سی تی اسکن تزریقی

اهمیت تشخیص زود هنگام آرتریت روماتوئید

تشخیص به موقع آرتریت روماتوئید نقش بسیار مهمی در کنترل التهاب ، جلوگیری از آسیب دائمی مفاصل و حفظ توان حرکتی بیمار دارد. از آنجا که تاخیر در تشخیص می تواند منجر به تخریب غیر قابل برگشت مفاصل شود ، به همین دلیل بررسی قیق علائم و انجام آزمایش های تشخیصی ضروری است.

روش های تشخیص آرتریت روماتوئید

تشخیص آرتریت روماتوئید بر اساس ترکیبی از معاینه بالینی ، آزمایش های خون و تصویر برداری پزشکی انجام می شود و هیچ آزمایش واحدی به تنهایی تشخیص قطعی را مشخص نمی کند.

  • معاینه و بررسی علائم بالینی : پزشک با بررسی الگوی درد ، مدت خشکی صبحگاهی ، تعداد مفاصل درگیر و تقارن علائم ، به وجود التهاب مزمن مفصلی مشکوک می شود. سابقه خانوادگی و عوامل خطر نیز در تشخیص اهمیت دارند.
  • آزمایش خون : برخی از آزمایش های مهم در تشخیص آرتریت روماتوئید شامل موارد زیر هستند :
  1. فاکتور روماتوئید : در بسیاری از بیماران مثبت است ، اما منفی بودن آن بیماری را رد نمی کند.
  2. Anti-CCP : آزمایش اختصاصی تر که در تشخیص زودهنگام و پیش بینی شدت بیماری اهمیت دارد.
  3. CRP , ESR : شاخص های التهاب که میزان فعال بودن بیماری را نشان می دهند. این آزمایش به پزشکان کمک می کند تا شدت التهاب و فعالیت بیماری را ارزیابی کند.
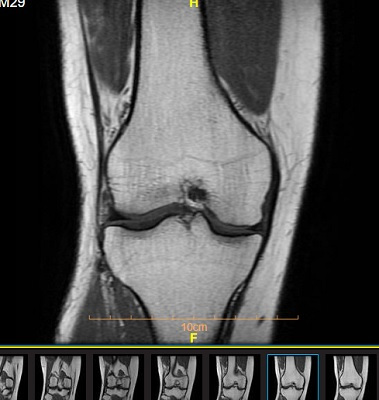
  • تصویر برداری پزشکی : تصویر برداری نقش مهمی در تشخیص و پیگیری آرتریت روماتوئید دارد :
  1. رادیوگرافی : رادیولوژی برای بررسی تغییرات استخوانی و تخریب مفصل در مراحل پیشرفته تجویز می شود.
  2. سونوگرافی مفاصل : تشخیص التهاب سینوویوم و تجمع مایع مفصلی
  3. ام آر آی : شناسایی تغییرات اولیه مفصل قبل از بروز آسیب های واضح استخوانی

نکته : ام آر آی و سونوگرافی می توانند بیماری آرتریت روماتوئید را در مراحل ابتدایی ، حتی قبل از تخریب مفصل شناسایی کنند.

مقالات دیگر : روشهای تشخیص بزرگ شدن پروستات

درمان بیماری آرتریت روماتوئید

گرچه درمانی برای آرتریت روماتوئید وجود ندارد اما تشخیص به موقع و درمانهای مناسب می تواند به بیماران کمک کند تا زندگی بهتری داشته باشند و به فعالیتهای روزانه و کار خود ادامه دهند.

  • دارودرمانی برای تسکین علائم بیماری و کاهش روند پیشرفت بیماری
  • فیزیوتراپی و کاردرمانی برای حفظ تحرک و مدیریت مشکلات در فعالیتهای روزانه
  • جراحی برای اصلاح مفاصلی که مشکل پیدا کرده اند.

خلاصه مطلب :

آرتریت روماتوئید یک بیماری مزمن و پیش رونده است که در صورت تشخیص دیر هنگام می تواند آسیب های جدی و دائمی ایجاد کند. شناخت علائم اولیه ، مراجعه به موقع به پزشک و استفاده از روش های تشخیصی مناسب مانند آزمایش های خون و تصویر برداری ، نقش کلیدی در کنترل بیماری دارند. تشخیص زودهنگام این امکان را فراهم می کند که با شروع درمان مناسب ، التهاب کاهش یابد و از ناتوانی های آینده پیشگیری کند.

مرکز تصویربرداری نگاه مارلیک آتیه رشت

شماره تماس : 0133417 - 09116184803

اینستاگرام : https://instageram.com/tasvirbardarinegah

سایت : https://nmamic.ir/

آدرس : رشت بلوار انصاری روبروی بانک سپه کوچه مسعود